Depremden etkilenen profesör diş tedavisini yeniden yorumladı: Sonuç şaşırttı

Sivas Cumhuriyet Üniversitesi’nden Prof. Dr. İhsan Hubbezoğlu, Kahramanmaraş depremlerinden ilham alarak geliştirdiği Cam Fiber Post ve Direkt Kompozit Lamina yöntemiyle implant bağımlılığını azaltmayı hedefliyor. Yalnızca diş kökü kalan hastalarda bile birkaç seansta doğal görünümlü dişler elde edildiği belirtilirken, yöntemin kısa sürede yüzlerce hastada başarılı şekilde uygulandığı ifade ediliyor.
Sivas Cumhuriyet Üniversitesi Diş Hekimliği Fakültesi, Türkiye’de giderek artan implant tedavilerine alternatif bir yaklaşımıyla dikkat çekiyor. Restoratif Diş Tedavisi Ana Bilim Dalı Öğretim Üyesi Prof. Dr. İhsan Hubbezoğlu, uzun süredir üzerinde çalıştığı yöntemle, sağlam köklere sahip dişleri çekmek yerine koruyarak restore etmeyi amaçlıyor.

Hubbezoğlu’nun geliştirdiği modelde, implant yerine Cam Fiber Post ve Direkt Kompozit Lamina uygulanıyor.
Depremlerde kullanılan fiber teknolojisi tedaviye ilham oldu
Kahramanmaraş merkezli iki büyük deprem sonrası binalarda kullanılan güçlendirme tekniklerini inceleyen Prof. Dr. Hubbezoğlu, fiber materyallerin dayanıklılığından yola çıkarak bu yapının diş köklerinde de kullanılabileceğini fark etti. Cam fiberin esnekliği ve yüksek direncinden yararlanan hekim, çene içine vidalanan implantların risk oluşturduğu vakalarda yeni bir çözüm geliştirdi. Bu yöntemle diş kökleri zarar görmeden korunuyor ve tedavi çoğu zaman 4 seansta tamamlanıyor.

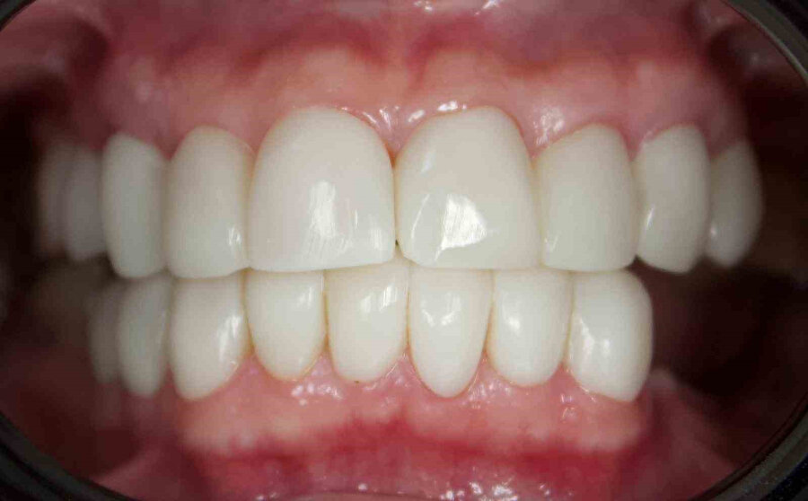
Hastalar kısa sürede estetik gülüşe kavuşuyor
Tedaviyi deneyimleyen hastalardan Fatma Hizmetli Okumuş, Almanya’da çözüm bulamadığı diş problemlerinin Sivas’taki uygulamalarla birkaç gün içinde düzeldiğini anlattı. Okumuş, diş kökleri korunarak yapılan lamina tedavisinde ne anestezi ihtiyacı hissettiğini ne de ağrı yaşadığını ifade etti.

Geniş hasta grubunda uygulanabilir hâle getirildi
Hubbezoğlu, bu yöntemin yalnızca estetik dolgu olmadığını, kapsamlı bir gülüş tasarımı çalışması olduğunu belirtiyor. Daha önce sadece sınırlı hastaya uygulanabilen direkt kompozit laminaların, yapılan çalışmalarla artık her beş hastanın dördünde başarılı şekilde uygulanabildiğini ifade ediyor. Yöntem, dişlerin en fazla 15–20 derecelik eğimlerde bile düzeltilmesine olanak sağlıyor.
Hedef: Doğal yapıyı koruyarak implantı en son seçenek yapmak
Tedavi sürecinde laboratuvar gerektirmeyen bu yaklaşım, diş minesinin korunmasını ve doğal dokuların maksimum düzeyde yaşatılmasını temel alıyor. Hubbezoğlu, “Yeter ki kök sağlıklı olsun” diyerek, çene içine vidalanan implantların yerine mümkün olan her durumda doğal diş köklerini kullanmayı tercih ettiklerini vurguluyor. Yaklaşık 280 cam fiber post, 1.800’den fazla direkt kompozit lamina uygulamasının yapılmış olması ise yöntemin güvenilirliğini destekliyor.
