Diş tedavisinde yeni dönem: Bilim insanları laboratuvarda diş büyütüyor

King’s College London araştırmacıları, laboratuvarda hidrojel içinde yetiştirilen diş benzeri yapılar sayesinde gelecekte protez veya implantlara gerek kalmadan, tamamen doğal dişlerin yerleştirilebileceği bir tedavi yöntemi geliştirmeyi hedefliyor.
Birçok insanın dişçiden korkması şaşırtıcı değil. Diş değiştirmek genellikle cerrahi bir işlem gerektirir; titanyum bir vidanın çene kemiğine yerleştirilmesi ve aylar süren iyileşme süreci sonunda üzerine kaplama takılması gerekir.
Ancak dünya genelindeki araştırma ekipleri, insan çenesine gerçek biyolojik dişler yerleştirme veya laboratuvarda büyütme yolları üzerinde çalışıyor.
King’s College London’da laboratuvar çalışmaları
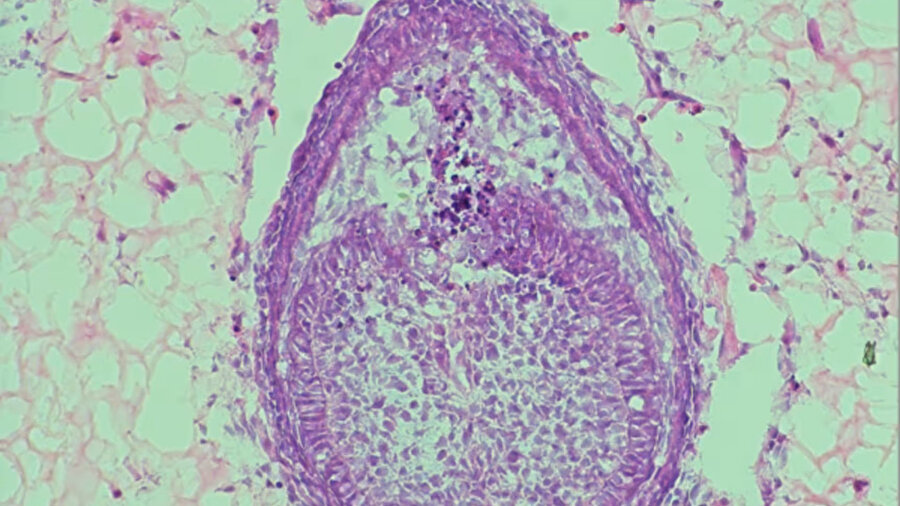
King’s College London’da rejeneratif diş hekimliği yüksek lisans programı direktörü Ana Angelova Volponi, laboratuvarda diş yetiştirme üzerine yaklaşık 20 yıldır çalışmalar yürütüyor. 2013 yılında, insan ve fare hücrelerinden bir diş büyütmeyi başaran ekibin bir parçası oldu.

Bu yıl yürütülen yeni bir çalışmada, laboratuvarda dişin büyümesini sağlayan materyalde önemli bir ilerleme kaydedildi. Kullanılan yeni materyal, dişin doğal ortamını daha iyi taklit ederek hücrelerin “diş yapımı” sürecini destekliyor. Bu, fare hücrelerinin insan hücreleriyle değiştirilmesi ve tam anlamıyla diş oluşumunun sağlanması yolunda önemli bir adım.
Laboratuvarda diş nasıl büyütülüyor?
Volponi’ye göre, laboratuvarda diş yetiştirmenin temelinde üç unsur var:
- İnsan ağız içinden alınan diş eti hücreleri,
- Fare embriyosundan alınan diş öncüsü hücreler,
- Hücrelerin büyütüldüğü özel ortam
2013 yılında yapılan çalışmada dişlerin büyümesi için kolajen adlı bir protein kullanılırken, yeni çalışmada su oranı yüksek bir jel (hidrojel) kullanılıyor. Hücreler bir araya getiriliyor, bu jelin içine yerleştiriliyor ve yaklaşık sekiz gün boyunca büyümeye bırakılıyor. Bu süreç sonunda dişe benzer yapılar oluşuyor.

Volponi, henüz insan hücrelerinin kullanılmadığını ve çalışmanın asıl amacının dişin büyümesini sağlayan ortamı geliştirmek olduğunu belirtiyor. Başarı sağlanırsa, laboratuvarda yetiştirilen dişler ya belirli bir aşamaya kadar büyütülüp çenedeki boşluğa yerleştirilecek ya da tamamen büyüyüp cerrahi olarak takılacak.
Biyolojik dişlerin avantajları
Hastanın kendi hücrelerinden üretilen gerçek bir diş, kaplama veya implantlara göre birçok avantaj sunuyor:
- Doku tarafından kabul ediliyor, iltihap veya reddedilme riski yok,
- Gerçek bir diş gibi hissettiriyor, esneklik ve duyarlılık sağlıyor.
Sheffield Üniversitesi Diş Hekimliği Fakültesi’nden Vitor C. M. Neves, Volponi’nin diş rejenerasyonu alanında öncü olduğunu ve yeni çalışmasının diş üretiminde ortamın önemini vurguladığını belirtiyor.
