Mide ağrısıyla doktora giden kadın 66 yıl sonra ters tarafta olduğunu öğrendi

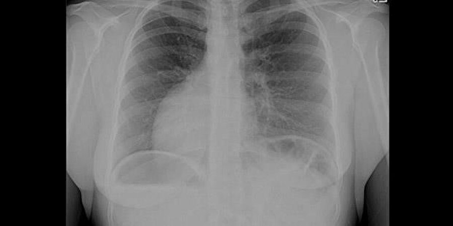
Gaziantep’te mide ağrısı şikâyetiyle hastaneye başvuran 66 yaşındaki Evin Aslan, yapılan tetkikler sonrası hayatının en büyük şaşkınlığını yaşadı. Yıllardır kalbinin sağ tarafta attığını söylediğinde kimseyi inandıramayan Aslan’ın, aslında tüm iç organlarının ters yönde konumlandığı ortaya çıktı.
Uzun süredir mide ağrıları yaşayan ve ardı ardına hastanelere gitmesine rağmen net bir tanı konamayan Aslan, son olarak Gaziantep Şehir Hastanesi’ne başvurdu. Burada yapılan detaylı incelemelerde Aslan’ın kalbinin sağda, midesinin ve dalağının yine sağ tarafta; karaciğer ve safra kesesinin ise solda olduğu tespit edildi.

Bu sıra dışı anatomik duruma tıpta “situs inversus totalis” adı veriliyor.
“Tüm organların ters yerleştiğini MR’da gördük”
Aslan’ın durumunu tespit eden Gastroenteroloji Uzmanı Dr. Ahmet Akbay, meslek hayatında ilk kez böyle bir vakayla karşılaştığını söyledi.
“Hasta karın ağrısı şikâyetiyle geldi. MR görüntülemede tüm organların tam tersi şekilde yerleştiğini gördük. Aynı zamanda safra kanalında taş vardı ve tekrarlayan pankreatit atakları geçiriyordu. RCP işleminde hastayı ters pozisyonda almak zorunda kaldık. Oldukça zorlu bir işlem olmasına rağmen başarılı bir şekilde tamamladık” dedi.
“Dünyada çok nadir görülen bir durum”
Dr. Akbay, hem organların ters yerleşimi hem de buna eşlik eden safra taşı ve pankreatit kombinasyonunun tıpta nadir görüldüğünü vurguladı: “Bu durum dünyada ve Türkiye’de çok sık rastlanan bir tablo değil. Odanın düzeninden hastanın pozisyonuna kadar her şeyi özel olarak planlamak zorunda kaldık.”
“Şimdi iyiyim, daha önce böyle bir rahatsızlığım olduğunu bilmiyordum”
Operasyon sonrası sağlığına kavuşan Evin Aslan ise yaşadığı şaşkınlığı şöyle anlattı: “İç organlarımın ters tarafta olduğunu bilmiyordum. Sadece mide ağrım vardı. Taşlar büyüyünce ağrım arttı. Çok şükür şimdi iyiyim. Doktoruma ve hastane çalışanlarına teşekkür ederim.”
