Tıp dünyasını sarsan gelişme: Burun damlasıyla beyin tümörlerini yok etmek mümkün!

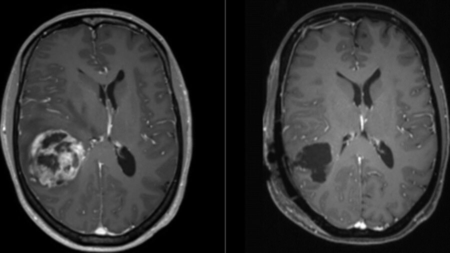
Araştırmacılar, burun yoluyla uygulanan damlaların merkezi sinir sistemine ulaşarak ölümcül beyin kanseri glioblastomaya karşı etkili olabileceğini gösterdi. Farelerde yapılan deneyler, ilacın hedefe güvenli şekilde ulaştığını ve tümör büyümesini önlediğini ortaya koydu. Bu yöntem, geleneksel tedavilere dirençli tümörler için yeni bir umut vadediyor.
Washington Üniversitesi’nden bilim insanları, burun yoluyla verilen damlaların sinirler üzerinden beyne ulaşıp glioblastoma tedavisinde etkili olabileceğini keşfetti. Ön testler, ilacın farelerde güvenli bir şekilde hedefe ulaştığını ve tümörlerin büyümesini durdurduğunu gösterdi. Glioblastoma, agresif yapısı ve erken tespit edilememesi nedeniyle klasik tedavilere direnç gösteriyor.
Nazal damla ile beyne ulaştırıldı
Araştırmacılar, farelerde kanser hücrelerini fark ettirmek için genleri aktive eden molekülleri geliştirdi. Ancak bu tür ilaçlar vücutta hızla parçalanıyor ve doğrudan tümöre ulaşmak için invaziv uygulamalar gerektiriyordu. Araştırmacılar, genetik materyali altın nanoparçacıklar etrafında sararak stabilitesini artırdı ve nazal damla ile beyne ulaştırdı.

Fare deneylerinde başarı
Deneylerde, bu nano taşıyıcılar STING yolunu etkin bir şekilde aktive ederek tümör büyümesini engelledi. Araştırmacılar, nazal damla ile diğer bağışıklık güçlendirici ilaçların kombinasyonunun farelerde uzun vadeli bağışıklık sağladığını belirtti. Bu, glioblastomaya karşı yeni bir stratejinin ilk somut adımı olarak değerlendiriliyor.

Hayatta kalma oranı %6,9
Araştırmacılar, insan klinik denemelerine ulaşmanın henüz zaman alacağını ve yöntemin diğer tedavilerle desteklenmesi gerektiğini vurguluyor. Glioblastoma, beyin kanserleri arasında en yaygın ve ölümcül tür olarak biliniyor; teşhis sonrası beş yıl hayatta kalma oranı yalnızca %6,9.
Kritik bir adım
Washington Üniversitesi’nden nörocerrah Alexander Stegh, bu çalışmanın glioblastoma ve diğer bağışıklık tedavisine dirençli kanserler için kritik bir adım olduğunu belirtiyor. Stegh, büyükannesinin metastatik beyin tümörleriyle mücadelesinin kendisini bu alanda araştırma yapmaya teşvik ettiğini de açıklıyor.
