Bu belirtileri olanlar mutlaka doktora gidin! "3'lü salgın" Türkiye'de, nasıl korunulur?

Göğüs Hastalıkları Uzmanı Prof. Dr. Şevket Özkaya, son haftalarda artan solunum yolu enfeksiyonlarına karşı önemli bir uyarıda bulundu. Türkiye’de aynı anda grip (influenza), RSV ve Covid-19 vakalarının yaygınlaştığını belirten Özkaya, bu durumun “3’lü salgın” etkisi oluşturduğunu söyledi. Özkaya ayrıca, Covid-19’un “Frankenstein varyantı” olarak adlandırılan yeni türünün Türkiye’de görüldüğünü ve yüksek bulaşıcılık taşıdığını açıkladı. Uzman isim, vatandaşları özellikle ani hava değişimleri, uzamış öksürük ve zatürre riski konusunda uyardı.
Son haftalarda ülke genelinde solunum yolu enfeksiyonlarında ciddi artış yaşandığın ifade eden Göğüs Hastalıkları Uzmanı Prof. Dr. Şevket Özkaya, aynı anda görülen influenza (grip), kovid-19 ve RSV virüslerinin toplumda "3’lü salgın" etkisi oluşturduğunu belirterek vatandaşları dikkatli olmaları konusunda uyardı.

Neden oldu?
Prof. Dr. Özkaya, son dönemdeki hava şartlarına dikkat çekerek, "Sonbahar ve yaz karışımı bir iklimin etkisiyle gün içinde ani sıcaklık değişimleri yaşanıyor. Aynı gün içerisinde dört mevsimi birden yaşıyoruz. Bu durum bağışıklık sistemini zayıflatıyor ve grip benzeri şikayetlerle başlayan hastalık tabloları, üç farklı virüsün etkisiyle uzamış bir hal alıyor" dedi.
"Frankenstein varyantı Türkiye’de görüldü"
Kovid-19’un "Frankenstein varyantı" olarak adlandırılan yeni türünün Türkiye’de de görüldüğünü ifade eden Prof. Dr. Özkaya, "Mevcut hastalarımız içinde kritik veya hayatı tehdit eden bir tablo yok. Ancak bu varyantın bulaşıcılığının yüksek olduğunu ve Avrupa ile Asya’da hızlı bir şekilde yayıldığını biliyoruz" diye konuştu.

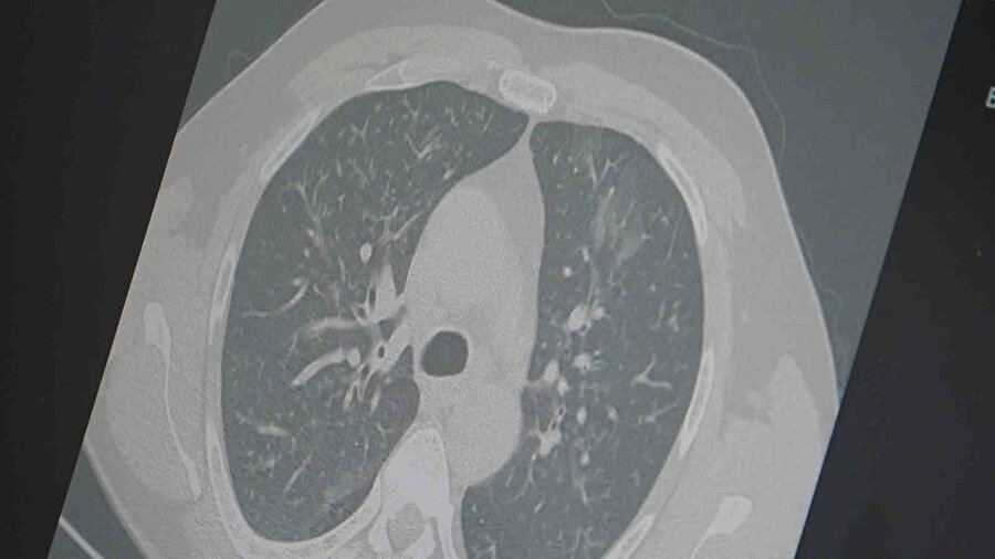
"Zatürre riskine dikkat"
Dr. Özkaya, grip ve kovid 19’un zatürreye dönüşme riski taşıdığını vurgulayarak, "Grip veya kovid sonrası birçok hastamızda hastalık akciğerlere iniyor ve zatürre olarak karşımıza çıkıyor. Hastaneye yatan hasta sayısında da artış gözlemliyoruz" şeklinde konuştu.
"Ayakta geçirilebilir ama bulaşıcı bir salgın"
Salgının günlük hayatı aksatmadan ancak sinsi bir şekilde yayıldığını belirten Özkaya, "Grip ve kovid artık yatağa düşürecek kadar ağır seyretmese de günlük işlerimizi yapmayı zorlaştırıyor. Ne tam hasta ne de tam iyilik hali olmadan virüs toplumda dolaşmaya devam ediyor. Dinlenmeyen ve izolasyon uygulamayan vakalar bulaş zincirini sürdürüyor" ifadelerini kullandı.
"Öksürük ve nefes darlığı belirtileri olanlar mutlaka doktora gitmeli"
Prof. Dr. Özkaya, vatandaşlara şu önerilerde bulundu:
"En ufak grip benzeri şikayeti olan vatandaşlarımızın evlerinde dinlenmelerini öneriyoruz. Uzamış öksürük ve nefes darlığı yaşayanların ise mutlaka doktora başvurarak akciğer röntgeni çektirmeleri ve uygun tedaviyi almaları gerekiyor."